Trật khớp khuỷu tay là chấn thương phổ biến thứ hai chỉ sau khớp vai nhưng rất dễ bị nhầm lẫn với gãy xương. Bài viết chi tiết này từ Optivita sẽ giúp bạn nhận biết chính xác các dấu hiệu, hiểu rõ mức độ nguy hiểm và hướng dẫn cách xử lý an toàn nhất để bảo vệ đôi tay của mình.
Dấu hiệu nhận biết trật khớp khuỷu tay và phân biệt với gãy xương
Trong các chấn thương chi trên, trật khớp khuỷu tay đứng hàng thứ hai về độ phổ biến, chỉ sau trật khớp vai. Vì triệu chứng đau và sưng nề xảy ra rất nhanh, người bệnh thường dễ nhầm lẫn giữa việc bị trật khớp, bong gân nặng hoặc gãy xương. Việc nhận diện sai dẫn đến xử lý sai (như cố nắn, xoa dầu) có thể gây ra hậu quả nghiêm trọng cho chức năng vận động sau này.
Các triệu chứng điển hình dễ quan sát bằng mắt thường
Ngay sau chấn thương, nếu quan sát kỹ bằng mắt thường, bạn có thể nhận thấy những thay đổi rõ rệt về hình dáng giải phẫu học của tay:
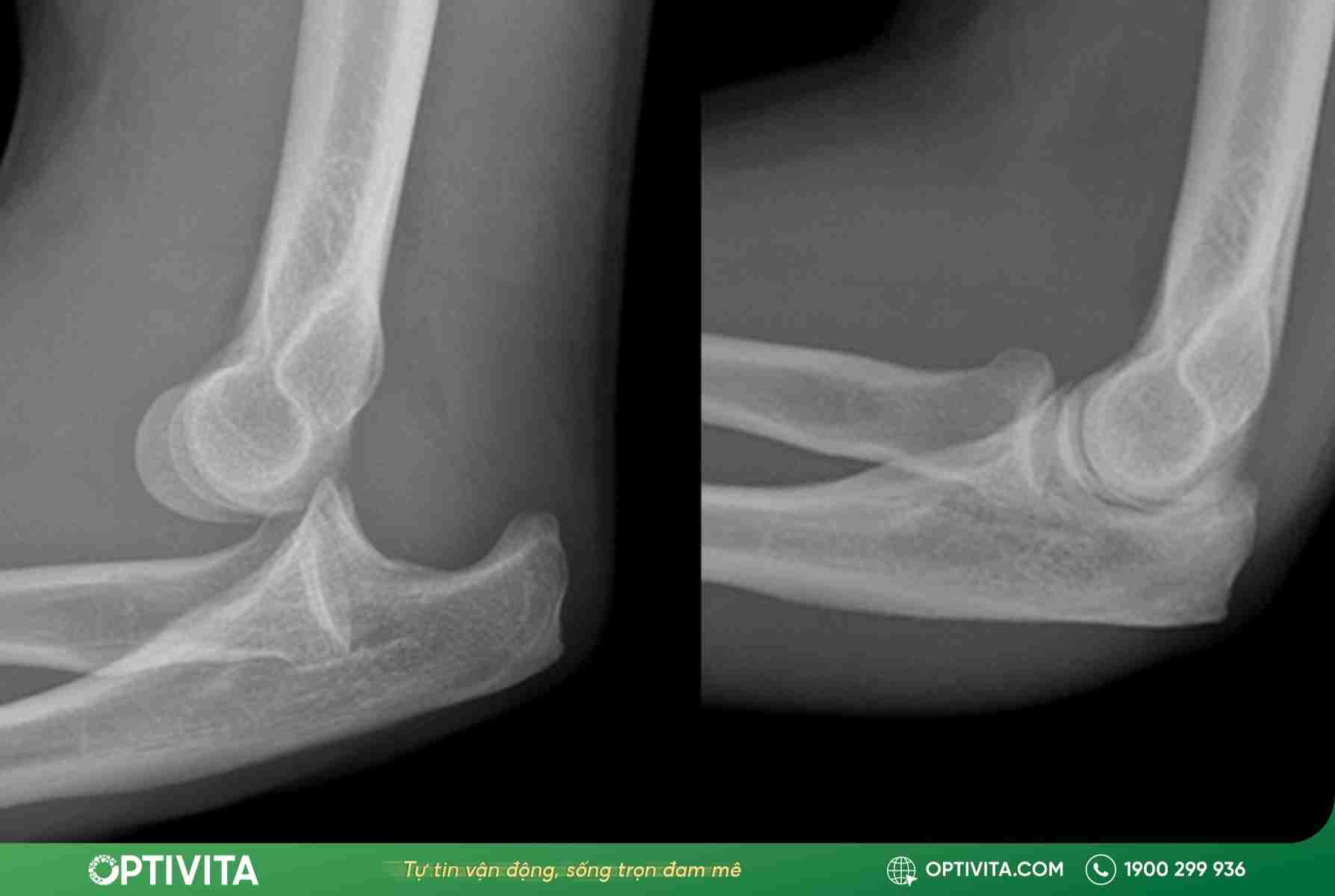
- Biến dạng khớp rõ rệt: Đây là dấu hiệu trật khớp khuỷu tay đáng tin cậy nhất. Khi so sánh với tay lành, bạn sẽ thấy vùng khuỷu tay bị thương mất đi vẻ tròn trịa tự nhiên. Cẳng tay có thể trông ngắn lại hoặc dài ra bất thường tùy thuộc vào hướng trật. Đặc biệt, phần mỏm khuỷu (cùi chỏ) thường nhô ra sau một cách gồ ghề, tạo thành một hõm sâu ngay phía trên khuỷu tay.
- Sưng tấy và bầm tím lan rộng: Chỉ sau vài phút, vùng chấn thương sẽ sưng phù lên nhanh chóng. Điều này là do các tổn thương ở dây chằng và bao khớp khiến máu tụ lại xung quanh khớp. Các vết bầm tím (xuất huyết dưới da) sẽ xuất hiện dần và lan rộng xuống cẳng tay hoặc lên bắp tay.
- Mất hoàn toàn khả năng vận động: Khác với bong gân nhẹ khi bạn vẫn có thể cử động rón rén, người bị trật khớp khuỷu tay sẽ cảm thấy đau dữ dội và gần như không thể thực hiện các động tác gấp, duỗi hay xoay cẳng tay. Cánh tay thường bị “khóa cứng” ở một tư thế cố định (thường là tư thế gấp nhẹ khoảng 45 độ) để giảm đau.

Các dấu hiệu đặc hiệu trong thăm khám (Dành cho nhận biết chuyên sâu)
Nếu các dấu hiệu bên ngoài chưa đủ rõ ràng do sưng nề quá lớn, các bác sĩ thường dựa vào những nghiệm pháp chuyên sâu hơn. Bạn cũng có thể tự kiểm tra nhẹ nhàng (nhưng cần hết sức cẩn trọng) để phân biệt với gãy xương:
- Dấu hiệu lò xo (Spring sign): Đây là đặc điểm “thương hiệu” của trật khớp. Khi bạn cố gắng gập khuỷu tay của người bệnh lại và thả ra, tay sẽ tự động bật ngược trở lại vị trí sai lệch ban đầu giống như một chiếc lò xo bị nén. Ngược lại, trong trường hợp gãy xương, tay thường nằm im ở vị trí mới mà không bật lại.
- Sự thay đổi của tam giác Hueter: Trong trạng thái bình thường, khi gấp khuỷu 90 độ, ba mốc xương gồm: mỏm trên lồi cầu trong, mỏm trên lồi cầu ngoài và mỏm khuỷu sẽ tạo thành một tam giác cân (tam giác Hueter). Khi duỗi thẳng tay, ba điểm này tạo thành một đường thẳng (đường Hueter). Tuy nhiên, khi trật khớp khuỷu, mối tương quan này bị phá vỡ hoàn toàn, ba điểm xương bị đảo lộn vị trí và không còn giữ được hình dạng hình học vốn có.
- Phân biệt với bong gân và gãy xương: Bong gân thường chỉ gây đau tại điểm bám dây chằng và không gây biến dạng khớp. Gãy xương thường đi kèm với tiếng “lạo xạo” của xương gãy cọ xát vào nhau và điểm đau chói rất khu trú.

Lưu ý quan trọng: Nếu bạn nghi ngờ mình có dấu hiệu trật khớp khuỷu tay, hãy ngừng ngay mọi cử động và tìm cách cố định tay. Việc cố gắng “thử” cử động quá nhiều để kiểm tra có thể vô tình làm tổn thương thêm mạch máu và thần kinh.
Tại sao bạn bị trật khớp? Cơ chế chấn thương và phân loại
Để hiểu rõ cách phòng ngừa và điều trị, chúng ta cần nắm bắt được cấu trúc bên trong của khớp và lý do tại sao nó lại trật ra khỏi “quỹ đạo” vận động.
Cấu tạo khớp khuỷu tay được ví như một bản lề cửa vững chắc nhưng tinh xảo, được hình thành từ sự tiếp khớp của ba đầu xương: đầu dưới xương cánh tay, đầu trên xương trụ và đầu trên xương quay.
Hệ thống dây chằng bao quanh giữ vai trò như những sợi dây cáp siêu bền giúp ổn định khớp. Trật khớp khuỷu xảy ra khi có một lực tác động đủ mạnh phá vỡ hệ thống dây cáp này, khiến các mặt khớp trượt ra khỏi nhau.
Cơ chế chấn thương phổ biến
Có rất nhiều nguyên nhân dẫn đến tình trạng này, nhưng phổ biến nhất vẫn là các tai nạn trong sinh hoạt và thể thao:
- Té ngã chống tay (FOOSH – Fall On Outstretched Hand):
Đây là nguyên nhân hàng đầu, chiếm đa số các ca nhập viện. Khi bạn bị ngã và theo phản xạ tự nhiên đưa tay ra chống đỡ trong tư thế khuỷu duỗi thẳng, toàn bộ trọng lượng cơ thể dồn nén đột ngột lên khớp khuỷu, kết hợp với lực phản chấn từ mặt đất sẽ đẩy các đầu xương trượt ra khỏi vị trí.

- Chấn thương thể thao và tai nạn giao thông:
Các môn thể thao đối kháng như Judo, vật, bóng đá hoặc các va chạm mạnh trong tai nạn xe máy có thể tạo ra lực tác động trực tiếp hoặc lực vặn xoắn mạnh lên trục cánh tay, gây ra tình trạng chấn thương thể thao nghiêm trọng như trật khớp khuỷu tay.
- Lưu ý về trật khớp khuỷu tay ở trẻ em:
Ở trẻ nhỏ dưới 5 tuổi, hệ thống dây chằng còn khá lỏng lẻo. Tình trạng bán trật khớp quay (thường gọi là “pulled elbow” hay “nursemaid’s elbow”) rất hay xảy ra khi người lớn vô tình kéo mạnh tay trẻ để dắt đi, xốc nách trẻ lên cao hoặc khi trẻ vùng vằng. Dù đây là dạng nhẹ, nhưng nếu tái diễn nhiều lần sẽ ảnh hưởng đến sự phát triển xương khớp của bé.
Các dạng trật khớp thường gặp
Trong y khoa, việc phân loại trật khớp giúp bác sĩ đưa ra phương án nắn chỉnh khớp khuỷu tay chính xác nhất. Dựa vào vị trí của đầu xương cẳng tay so với xương cánh tay, chúng ta có các dạng sau:
- Trật ra sau (Posterior dislocation):
Đây là dạng phổ biến nhất, chiếm đến 90% tổng số các ca trật khớp khuỷu. Lúc này, đầu trên của hai xương cẳng tay bị lực tác động đẩy trượt ra phía sau đầu dưới xương cánh tay. Dạng này thường đi kèm với tổn thương dây chằng bên và bao khớp trước.
- Trật ra trước và các thể ít gặp khác:
Trật ra trước, trật sang bên (trong hoặc ngoài) hoặc trật phân kỳ (hai xương cẳng tay trật về hai hướng khác nhau) rất hiếm gặp và thường chỉ xảy ra trong các tai nạn có lực va đập cực mạnh, gây tổn thương phần mềm nghiêm trọng.
Trật khớp khuỷu tay có nguy hiểm không? Cảnh báo biến chứng thần kinh và mạch máu
Một câu hỏi mà Optivita thường xuyên nhận được là: “Trật khớp khuỷu tay có nguy hiểm không?“. Câu trả lời ngắn gọn là: Có, nếu không được xử lý kịp thời và đúng cách.
Mặc dù không đe dọa trực tiếp đến tính mạng, nhưng vùng khuỷu tay là “ngã tư” quan trọng nơi đi qua của nhiều dây thần kinh và mạch máu lớn nuôi dưỡng cả bàn tay. Sự di lệch của xương có thể gây ra những chèn ép nguy hiểm:
- Tổn thương thần kinh:
Sự di lệch của xương có thể chèn ép hoặc làm căng giãn thần kinh trụ (Ulnar nerve) đi qua rãnh khuỷu. Dấu hiệu nhận biết là cảm giác tê bì, kiến bò ở ngón út và một nửa ngón áp út, lâu dần dẫn đến yếu cơ bàn tay, khiến bạn khó thực hiện các động tác tinh vi như cầm bút hay gắp đồ vật. Ngoài ra, thần kinh giữa cũng có thể bị ảnh hưởng trong một số trường hợp.
- Tổn thương mạch máu:
Đây là biến chứng hiếm gặp (chỉ khoảng 1-5%) nhưng cực kỳ nguy hiểm, được coi là cấp cứu ngoại khoa khẩn cấp. Động mạch cánh tay có thể bị xương chèn ép, đụng dập, co thắt hoặc thậm chí bị rách. Nếu không được tái lưu thông máu kịp thời, vùng cẳng tay và bàn tay phía dưới sẽ bị thiếu máu nuôi, dẫn đến nguy cơ hoại tử và tàn phế vĩnh viễn. Dấu hiệu cảnh báo là mạch cổ tay đập yếu hoặc mất mạch, bàn tay lạnh và nhợt nhạt.
- Biến chứng muộn:
Nếu việc điều trị bị trì hoãn hoặc tập phục hồi chức năng sai cách, người bệnh có thể đối mặt với tình trạng cứng khớp (không thể duỗi thẳng tay hoàn toàn), vôi hóa quanh khớp (myositis ossificans – hình thành xương trong cơ) hoặc viêm khớp thoái hóa sớm. Những biến chứng này sẽ âm thầm làm suy giảm chất lượng cuộc sống của bạn trong nhiều năm sau đó.

Do đó, việc bổ sung dưỡng chất nuôi dưỡng khớp ngay từ giai đoạn phục hồi là cực kỳ cần thiết để ngăn ngừa các biến chứng thoái hóa về sau.
Hướng dẫn sơ cứu trật khớp khuỷu tay tại chỗ
Thời điểm vàng để thực hiện sơ cứu là ngay sau khi chấn thương xảy ra. Một thao tác sơ cứu đúng kỹ thuật không chỉ giúp giảm đau cấp tốc mà còn ngăn ngừa các thương tổn thứ phát, tạo điều kiện thuận lợi cho bác sĩ xử lý sau này:
Quy trình sơ cứu chuẩn
Hãy ghi nhớ nguyên tắc “Bất động – Làm lạnh” để áp dụng ngay lập tức:
- Nguyên tắc bất động:
Mục tiêu tối thượng là giữ cho khớp không di chuyển thêm. Hãy giữ nguyên tư thế của tay nạn nhân ở vị trí hiện tại (thường là tư thế gấp nhẹ).
Sử dụng nẹp (gỗ, bìa cứng) hoặc dùng khăn, vải mềm làm băng treo để cố định khớp vào sát thân mình. Việc này giúp ngăn đầu xương sắc nhọn cứa vào mạch máu và thần kinh.
- Chườm lạnh ngay lập tức:
Sử dụng túi nước đá hoặc khăn bọc đá lạnh chườm lạnh nhẹ nhàng lên vùng sưng đau trong 15-20 phút. Nhiệt độ thấp có tác dụng co mạch, giúp cầm máu bên trong (giảm sưng nề) và làm tê liệt tạm thời các dây thần kinh cảm giác, giúp giảm đau hiệu quả. Đây là cách chữa trật khớp khuỷu tay tại nhà duy nhất bạn nên làm trước khi đến viện.

Sai lầm chết người cần tránh
Trong lúc bối rối, người nhà thường mắc phải những sai lầm dân gian khiến tình trạng chấn thương tồi tệ hơn:
- Tuyệt đối không tự ý nắn chỉnh: Rất nhiều người cố gắng cầm tay giật mạnh hoặc bẻ khớp để “về vị trí”. Hành động này của người không có chuyên môn có thể vô tình kẹp đứt dây thần kinh hoặc gây gãy cổ xương quay (gãy xương thứ phát).
- Không dùng nhiệt nóng: Trong 48 giờ đầu, tuyệt đối không bôi dầu nóng, rượu gừng hay dán cao nóng. Nhiệt nóng làm giãn mạch, khiến máu chảy mạnh hơn, làm tình trạng sưng nề và viêm nhiễm bùng phát dữ dội hơn.
Phác đồ điều trị y khoa: Khi nào cần nắn chỉnh kín và khi nào phải phẫu thuật?
Sau khi thăm khám và chụp X-quang để xác định mức độ tổn thương của cấu tạo khớp khuỷu tay, bác sĩ sẽ quyết định phác đồ điều trị phù hợp nhất là bảo tồn hay can thiệp ngoại khoa:
Phương pháp nắn chỉnh kín (Closed Reduction)
Đây là phương pháp ưu tiên cho các ca trật khớp mới và đơn thuần (không kèm gãy xương phức tạp).
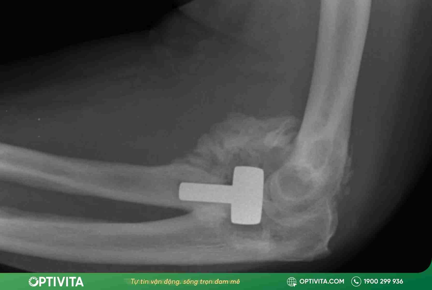
- Quy trình: Bệnh nhân sẽ được dùng thuốc giảm đau, giãn cơ hoặc gây tê. Bác sĩ chấn thương chỉnh hình sẽ thực hiện các thao tác nắn chỉnh khớp khuỷu tay chuyên môn để đưa đầu xương trượt nhẹ nhàng về lại ổ khớp.
- Cố định sau nắn: Ngay sau khi khớp vào vị trí, cánh tay sẽ được bó bột hoặc nẹp bột từ cánh tay xuống bàn tay ở tư thế khuỷu gấp 90 độ. Thời gian cố định thường kéo dài từ 2 – 3 tuần để tạo điều kiện cho dây chằng và bao khớp lành lại.

Phẫu thuật (Surgery)
Phẫu thuật là chỉ định bắt buộc trong các trường hợp phức tạp đe dọa chức năng chi:
- Trật khớp kèm gãy xương nghiêm trọng (gãy mỏm vẹt, gãy chỏm quay) gây mất vững.
- Tổn thương mạch máu cần khâu nối hoặc ghép mạch gấp.
- Nắn chỉnh kín thất bại do có phần mềm (dây chằng, cơ) bị kẹt vào khe khớp.
- Trật khớp khuỷu cũ (đến muộn sau vài tuần) không thể nắn kín được nữa.
Trật khớp khuỷu tay bao lâu thì khỏi?
Câu hỏi “Trật khớp khuỷu tay bao lâu thì khỏi?” luôn là mối bận tâm lớn nhất của người bệnh. Thực tế, thời gian hồi phục hoàn toàn phụ thuộc rất lớn vào mức độ nghiêm trọng ban đầu và sự kiên trì trong quá trình tập luyện.
Tiên lượng thời gian hồi phục
- Trường hợp nhẹ: Nếu được nắn chỉnh sớm và cố định tốt, sau khoảng 2 – 3 tuần, bột sẽ được tháo bỏ. Bệnh nhân bắt đầu tập vận động nhẹ nhàng. Thông thường, tay sẽ lấy lại chức năng cơ bản trong sinh hoạt sau 4 – 6 tuần.
- Trường hợp nặng: Với các ca có phẫu thuật hoặc gãy xương kèm theo, quá trình hồi phục sẽ gian nan hơn. Có thể mất từ 3 – 6 tháng để phục hồi biên độ duỗi thẳng tay tối đa.
Lộ trình phục hồi chức năng và dinh dưỡng
Tháo bột không có nghĩa là đã khỏi bệnh, lúc này khớp thường rất cứng do bất động lâu ngày. Đây là giai đoạn quyết định biên độ vận động của tay sau chấn thương trật khớp khuỷu tay.
- Vật lý trị liệu: Bạn cần tuân thủ lịch phục hồi chức năng sau trật khớp khuỷu tay với chuyên gia. Các bài tập vật lý trị liệu sẽ đi từ thụ động đến chủ động nhằm lấy lại khả năng gấp – duỗi và sấp – ngửa cẳng tay.
- Giải pháp hỗ trợ: Để rút ngắn thời gian lành thương, cơ thể cần nguyên liệu tái tạo sụn và dây chằng. Bên cạnh chế độ ăn giàu protein, việc bổ sung các hoạt chất chuyên biệt là rất cần thiết. Bạn có thể tham khảo Viên uống bổ khớp chứa Glucosamine và Nghệ, giúp giảm viêm tự nhiên và cung cấp dưỡng chất nuôi dưỡng khớp khuỷu trơn tru trở lại.

Kết luận
Trật khớp khuỷu tay là chấn thương nghiêm trọng nhưng hoàn toàn có thể hồi phục tốt nếu được xử lý đúng ngay từ đầu. Optivita hy vọng bài viết này đã trang bị cho bạn kiến thức hữu ích để bảo vệ hệ vận động khỏe mạnh cho chính mình và người thân.
Lưu ý: Sản phẩm này không phải là thuốc và không có tác dụng thay thế thuốc chữa bệnh. Hiệu quả sản phẩm tùy thuộc vào cơ địa mỗi người.
Bài viết này cung cấp thông tin với mục đích tham khảo và giáo dục sức khỏe, không nhằm thay thế cho chẩn đoán, tư vấn hoặc điều trị y tế chuyên nghiệp. Luôn luôn tham khảo ý kiến bác sĩ hoặc chuyên gia y tế có trình độ trước khi bắt đầu bất kỳ chương trình tập luyện hoặc chế độ điều trị mới nào.

HỆ THỐNG OPTIVITA
Optivita Việt Nam – Văn phòng & Trung tâm
Phân phối:
Địa Chỉ: 18 Ter Nguyễn Thị Minh Khai, Phường Sài Gòn, TP. Hồ Chí Minh
Hotline: 1900 2999 36
Kênh bán hàng & phân phối:
- Website: https://optivita.com/
- Fanpage: https://facebook.com/optivitawellness
- Instagram: https://instagram.com/optivita.wellness
- Shopee Mall: https://shopee.vn/product/1578181368/40112275919
